
Each year, the Dermatopathology service provides expert diagnosis in the field of neoplastic and inflammatory skin diseases, including melanocytic lesions, cutaneous soft tissue tumors, cutaneous lymphocytic tumors, and inflammatory skin diseases. Our pathologists and dermatologists work side by side to ensure that patients receive the right diagnosis that leads to the best possible care.
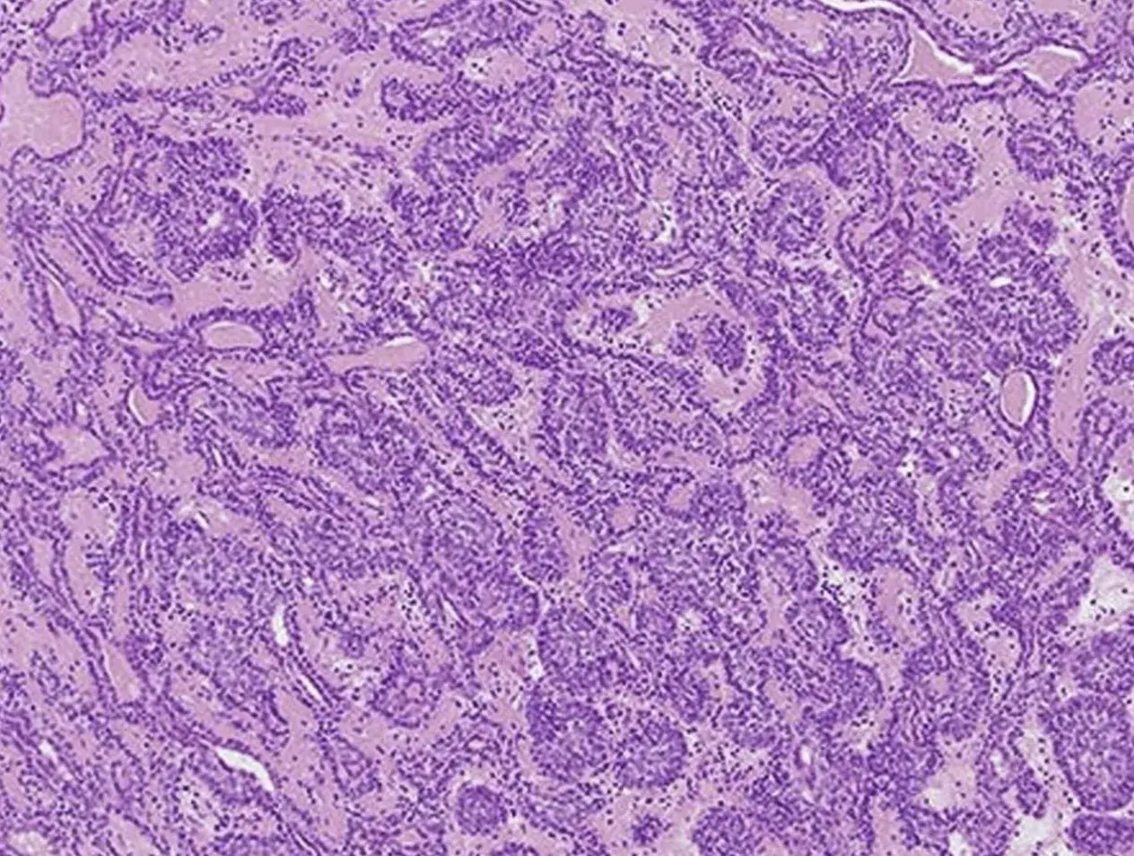
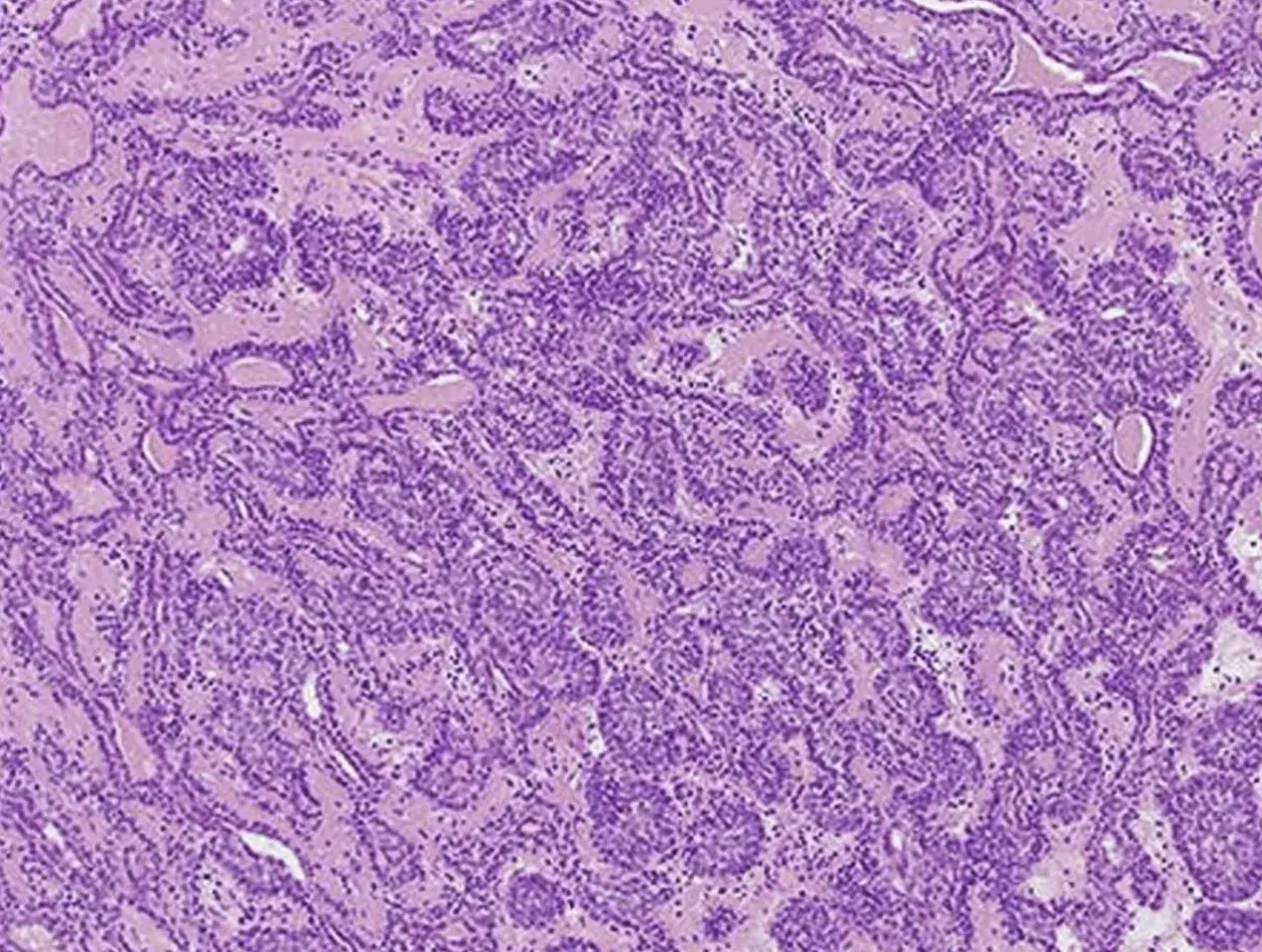
Pic: Spiradenoma presenting as a dermal nodule in chest of a 55-year old female patient.