
In Renal Pathology service, we evaluate kidney biopsies to investigate the causes of patient’s clinical and/or laboratory findings, such as proteinuria, hematuria, renal insufficiency, etc. These findings may be related to nonneoplastic disorders affecting the normal kidney structures (glomeruli, tubules, interstitium, and vessels). We examine the kidney biopsies using light microscopy with its various special stains, immunofluorescence, and electron microscopy. Each of these methods provide us with essential information, which all together leads us to the diagnosis. We work closely with our nephrologists to provide high-quality care for our patients.
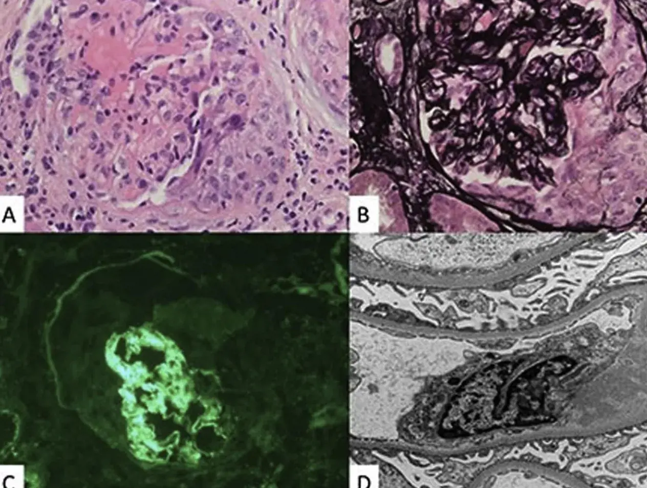
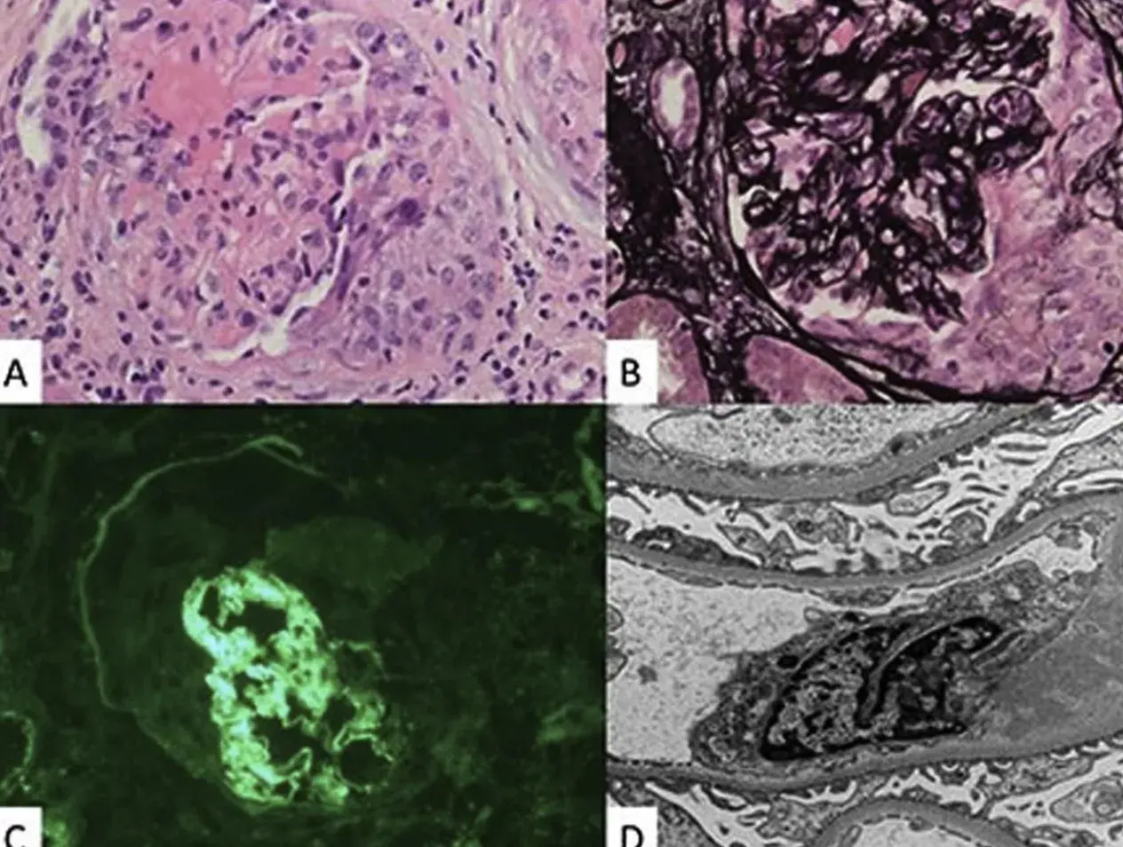
Pic: Proliferative glomerulonephritis with crescent formation in a 46 year old male patient. (A: H&E stain; B: Jones silver stain; C: IgG immunofluorescence; D: Electron microscopy with subendothelial deposits).